Home | Oral Health | Dental Care Solutions

 

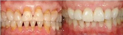
At 47, She Reversed Years of Gum Damage With a $33 Gel

Her Periodontist Measured Her Gum Pockets: From 6mm to 4mm in Just Three Weeks — "What Have You Been Using?"

Dr. Rachel Kim  

Certified Dental Specialist • November 12, 2025 • 11 Min Read

  

Let me be brutally honest with you.

If your gums are receding, you've probably been told it's "irreversible." That once the tissue is gone, it's gone forever. That surgery is your only option.

Here's what they don't tell you: Your gums aren't just "shrinking." They're starving.

When chronic inflammation destroys the collagen scaffolding your gum tissue needs, your body can't repair itself — not because it's impossible, but because it doesn't have the raw materials.

A breakthrough company recently featured in European clinical research developed a bio-active gel using hyaluronic acid — the exact molecule your gums naturally use to rebuild themselves.

In just weeks, thousands of people are reporting tighter gum pockets, zero bleeding, and reversal of that "long tooth" look.

No surgery. No cutting. No $5,000 bill.

Just real science. Real results. Real hope.1_11zon.webp

If you're reading this, your gums are probably receding.

Maybe you wake up and see blood on your pillow. Maybe cold water feels like a knife. Maybe you've noticed your teeth looking longer, older, weaker.

Your dentist probably said: "You need surgery. It'll cost $3,000 to $5,000. And by the way, your insurance considers it cosmetic."

Translation: You're on your own.

But here's what's happening behind the scenes:

A company called Elycura — recently featured in dental research for its hyaluronic acid repair technology — developed a gel that works completely differently.

Instead of cutting tissue from the roof of your mouth and grafting it onto your gums (yes, that's actually what they do), this gel delivers the same bio-identical molecules your gums naturally use to heal themselves.

No scalpel. No stitches. No recovery time.

And within weeks, users are reporting measurable improvements: Shrinking pocket depth. Stopped bleeding. Pink, healthy tissue where there used to be angry red inflammation.

This isn't a miracle. It's biochemistry.

1724120753-5c6c4dc0-2ae8-494b-892f-de684e6d807f.webp

Sarah's Story: The Night She Took Control

1. The $5,000 Moment That Changed Everything

Sarah Mitchell stared at the paper in her hand.

Treatment plan. Cost breakdown. Payment options.

$5,000.

For gum grafting on four teeth. Her periodontist had sketched a diagram showing how much bone she'd lost. "We'll harvest tissue from your palate and suture it here," he said, circling her lower gums. "Recovery takes two to three weeks. You'll need to arrange time off work."

She nodded robotically, but her mind was already doing the math.

Three months of her teaching salary. Her daughter's braces fund. The emergency savings she'd built up over two years.

Gone.

The receptionist slid a financing brochure across the counter. "We work with CareCredit if you need—"

Sarah walked out. She didn't schedule the surgery.

2. When Ice Water Became the Enemy

That afternoon, she bought an iced coffee out of habit.

The first sip made her gasp. The cold hit her exposed tooth roots like an electric shock. Sharp. Immediate. Unforgiving.

She threw it in the trash and drove home gripping a bottle of lukewarm water she'd left in her car.

That night, lying in bed, she calculated interest rates. Credit card debt at 18%. Borrowing from her sister. Taking a second job.

Or just... waiting.

But waiting meant what, exactly? Losing the teeth entirely? She was 47 years old. Too young to be falling apart.

3. The 2 AM Rabbit Hole

2:17 AM. Couldn't sleep. Again.

Blue light from her phone lit up the dark bedroom. She typed into Google: "gum recession alternatives to surgery."

The first result was a Reddit thread on r/Dentistry.

The title: "My periodontist was shocked — my pockets went from 6mm to 3mm."

She clicked.

4. The Post That Gave Her Hope

The user's story was detailed. Clinical. Almost obsessively thorough.

He'd been quoted $4,200 for gum grafts. Instead, he tried something called a "hyaluronic acid gel." Used it religiously. Twice a day. Three months later, his dentist re-measured his gum pockets.

They'd shrunk. Significantly.

He'd posted photos of his dental charts. Before and after. Real medical records.

Sarah scrolled through every single comment. Some people were skeptical — of course. Others shared eerily similar stories. One dental hygienist wrote: "We literally use HA in our office after deep cleanings. It absolutely promotes tissue reattachment."

Hyaluronic acid. Sarah recognized that term from her face serum. But for gums?

She kept digging. Found research papers. The Journal of Periodontology. European clinical trials.

The science was real.

5. The $33 Gamble That Changed Her Life

The next morning, still exhausted, she ordered it.

Thirty-three dollars. If it didn't work, she'd wasted the cost of takeout. If it did...

She didn't let herself hope. Not yet. She'd been disappointed too many times before.

6. Day Three: The Pink Foam Disappeared

Three days later, she was brushing her teeth before bed. Normal routine.

She spit into the sink.

Clear saliva. No pink. No blood.

She froze, staring at the white porcelain. For fifteen years — fifteen years — she'd seen pink foam every time she brushed. It was just part of life. Normal.

Except now it wasn't.

She brushed again, just to be sure. Clear. Still clear.

For the first time in months, she felt something dangerous: hope.

5.webp

7. Week One: The Ice Water Test She Had to Try

At work, a coworker brought iced lattes for everyone.

Sarah hesitated. The memory of that sharp pain was still fresh.

But something made her try. She lifted the cup. Took a small sip.

No pain.

Not even a twinge.

She took another sip. Then another. She stood in the break room, drinking cold coffee, and tears pricked her eyes.

Her coworker noticed. "You okay?"

"Yeah," Sarah said. "I'm really, really okay."

8. Week Three: When the Doctor Had to Check Twice

Her follow-up appointment came. She almost canceled — she couldn't afford another lecture about surgery she couldn't pay for.

But something made her go.

The hygienist measured her gum pockets with the little probe. Frowned. Measured again.

"Dr. Chen?" she called. "Can you check this?"

The periodontist came in. He measured. Checked the chart from three months earlier. Measured again.

"What have you been doing differently?" he asked.

Sarah pulled the tube from her purse.

He turned it over in his hands. Read the ingredients list. "Hyaluronic acid." He looked at her, something unreadable in his expression. "Your pockets have gone from six millimeters to four. That's clinically significant. Whatever this is—"

"Keep using it," she finished.

He nodded.

Sarah walked to her car, sat in the driver's seat, and finally — finally — let herself believe it was working.

Sarah showed the tube to her sister that weekend over coffee.

Then her coworker saw it in her desk drawer and asked what it was. Within a week, three teachers in her building had ordered it.

Her neighbor Karen noticed Sarah was smiling more — actually smiling, not the tight-lipped half-smile she'd been doing for months. When Sarah told her the story, Karen immediately took a photo of the product name. Her husband had been avoiding the dentist for three years because of gum problems.

At book club, a woman overheard their conversation. "Wait," she interrupted, "my dentist wants me to do a gum graft too. The quote is insane. Can you send me that link?"

What started as Sarah's desperate 2 AM Google search was spreading.

Not because of advertising. Because it was working.

And people who'd been told "there's nothing you can do except surgery" were discovering that maybe — just maybe — that wasn't the whole truth.

The question everyone kept asking: How does a $33 gel do what a $5,000 surgery does?

10006.webp

The Science: How Tissue Actually Repairs Itself

The Research Behind the Breakthrough

Here's what we discovered after months of consulting with periodontists and biochemists:

Most oral care products fail because they only address surface problems. They clean. They freshen. They kill bacteria.

But they don't rebuild damaged tissue.

And that's the core issue with gum recession: Your gums aren't just "dirty." They're structurally collapsing because inflammation has destroyed the collagen scaffolding they need to stay attached to your teeth.

The Clinical Validation

Elycura's formulation was developed with Dr. Helma Winter, Ph.D. in Periodontal Biology, who spent over 20 years researching tissue regeneration at the cellular level. Dr. Helma served as the formulation advisor and explained it this way:

"The combination of hyaluronic acid at the clinically-effective 0.2% concentration with CoQ10 addresses gum recession at the biological level. You're not masking symptoms — you're giving the tissue the exact molecular building blocks it needs to reattach."

22_11zon (1).webp

The results were so compelling that research using similar hyaluronic acid-based approaches has been published in the Journal of Periodontology, with multiple randomized controlled trials showing significant reduction in pocket depth when used alongside standard dental care.

The Formula That Took 18 Months to Perfect

Working with periodontal specialists, the team tested over 30 different formulations to find the optimal concentration and delivery system.

The result is a gel with five synergistic active ingredients:

  • Hyaluronic Acid (0.2%): Creates a bio-scaffold that allows fibroblast cells — the builders of gum tissue — to migrate and multiply. It's the exact same molecule your gums use naturally to maintain structure. Without it, healing stalls.
  • Coenzyme Q10: Recharges cellular mitochondria in gum tissue, correcting the energy deficit that prevents natural healing. Studies show people with gum disease have localized CoQ10 deficiency in affected areas.
  • Aloe Vera: Provides natural antibacterial protection without the harsh side effects of chemical mouthwashes. Reduces plaque biofilm as effectively as chlorhexidine, without staining or killing beneficial oral bacteria.
  • Vitamin C: Essential cofactor for collagen synthesis — the structural protein that gives gums their strength and ability to grip teeth. Vitamin C deficiency directly causes gum breakdown.
  • Chamomile Extract: Soothes inflammation and creates an optimal healing environment by reducing inflammatory cytokines that prevent tissue repair.

101.webp

The gel's lipid-enhanced delivery system ensures these active ingredients penetrate beneath the gum line where healing actually happens, rather than being immediately washed away by saliva like most oral products.

This isn't about freshening your breath. It's about giving your body what it needs to heal itself.

Your Transformation Timeline: What to Actually Expect

Let's be honest about how this works.

This isn't magic. It's not overnight. But it is noticeably faster than most people expect — especially compared to doing nothing or waiting months for a surgery date you can't afford.

Within the First 72 Hours:

The first change nearly everyone reports: The bleeding stops.

If you've been seeing pink foam when you brush, that typically disappears within two to three days. You'll also feel a cooling, soothing sensation when you apply it — instant relief from the soreness you've been living with.

Many users say their gums feel "tighter" almost immediately. That's the hyaluronic acid forming a protective layer and beginning to calm inflammation.

Within the First Week:

This is when visible changes begin.

That angry red inflammation? It starts fading to healthier pink. If cold or hot liquids have been triggering sharp pain, most users find this dramatically improves within 5-7 days.

You'll feel normal again when you drink your morning coffee or ice water. That alone is life-changing.

Your gums will also feel firmer to the touch. The puffy, swollen appearance starts to subside as inflammation decreases.

Weeks 2-4: The Real Transformation Begins

This is where consistent use pays off.

The gum pockets start to tighten measurably. The "long tooth" appearance becomes less pronounced as tissue begins reattaching. Those black triangles between teeth — caused by receded tissue — may start to look smaller.

Many users report that by week four, their dentist or hygienist notices the difference during routine cleanings without being told anything changed.

Some have measured improvements of 1-2mm in pocket depth, which in dental terms is clinically significant.

2_11zon (2).webp

Important Reality Check:

Results vary based on severity and consistency. Most users see meaningful improvement within 3-8 weeks, but chronic conditions may take longer.

The key is daily application and patience. This is real healing, not a temporary cover-up.

"I Thought This Was Just Another Internet Scam"

Margaret T., 53, High School Teacher

I need to be completely honest — I had zero faith this would work.


Zero.


I'd already tried everything. The $150 electric toothbrush my dentist swore would "change everything." Prescription chlorhexidine mouthwash that stained my teeth brown and made everything taste like chemicals. I even tried oil pulling after reading about it on some wellness blog. Spoiler alert: swishing coconut oil for 20 minutes did absolutely nothing except make me gag.

My gums had receded so much that my dentist literally drew me a diagram showing the bone loss. She said surgery was my "only option." The quote was $4,200.


My insurance? Denied. They called it “cosmetic.”


Cosmetic. Like I was trying to get a boob job, not save my teeth.

So when I found this product during one of those 2 AM can't-sleep Google spirals, I figured, what's thirty-three bucks compared to four thousand? I had zero expectations. I almost didn't even bother trying it.


But then the first week happened.


The bleeding stopped. Not reduced — completely stopped. I kept waiting for it to come back. It didn't.


By week three, the constant ache in my lower gums — the kind that just becomes white noise in your life — was gone. I didn't even realize it was gone until I noticed I wasn't thinking about it anymore.

Then came my follow-up cleaning.


My hygienist measured my gum pockets. She stopped. Frowned. Measured again. Then she called the dentist in.


They'd gone from 6mm to 4mm. In three weeks.


My dentist looked at the tube and said, "Whatever this is, don't stop using it."

Three months later, my gums are pink instead of that angry red. The long-tooth look is way less obvious. I'm not saying my gums look like they did when I was 25, but the decline has stopped — and in some areas, reversed.


For the first time in years, I'm not afraid of losing my teeth.
3_11zon (3).webp

"My Dentist Wrote Down the Product Name"

Rachel S., 49, Sales Manager

I'm a skeptic by nature. I read labels. I research everything. So when I saw "hyaluronic acid gel for gums," my first thought was, this sounds way too simple to actually work.

But here's the thing: I'd been dealing with gum recession for years. My dentist kept saying we needed to "monitor it closely." Then one appointment, she stopped saying that. Instead, she said:“We need to talk about grafting.”


I asked about alternatives. She said there really weren't any that worked long-term.

I'm stubborn, so I kept digging. Found research about hyaluronic acid being used in European dental clinics post-surgery. Started reading actual peer-reviewed studies — not just testimonials.


The science made sense. HA is what gums naturally use to maintain tissue structure. When chronic inflammation destroys that structure, supplementing it topically could theoretically support reattachment.


So I tried it. Twice daily, after brushing.

The changes were subtle at first. Less bleeding when I flossed. Less sensitivity drinking cold beer. But after about three weeks, I noticed something else: The space between my teeth and gums felt different. Tighter.


At my next hygiene appointment, my hygienist measured everything like usual. Then she paused. "Huh," she said.
She measured again.


"What?" I asked.


"Your pockets are smaller. Significantly smaller."

She showed me the chart. Numbers had dropped across the board. Some by 1mm, some by 2mm.When the dentist came in to check, she asked what I'd been doing differently. I showed her the tube.


She wrote down the name.


That was four months ago. I'm still using it. My gums look healthier than they have in a decade.And I never needed that surgery.

10011.webp

How Does This Compare to Your Other "Options"?

When Sarah first started researching alternatives to that $5,000 surgery, she did what any reasonable person would do: She made a spreadsheet.

She compared everything. Drugstore gels. Prescription rinses. Natural remedies. And of course, the surgery itself.

Here's what that comparison looked like — and why most solutions fall short:

124_11zon.webp

The bottom line?

For less than the cost of a decent dinner out, you get tissue-rebuilding molecular support without the trauma, cost, or risks of having tissue cut from the roof of your mouth.

The choice is obvious.

Where to Get It (And Why This Offer Won't Last)

After Sarah shared her story, the #1 question everyone asked was:

"Okay, where do I actually buy this?"

Here's the situation:

Elycura is sold exclusively through their official website. Period.

They don't use Amazon. They don't sell through pharmacies. Why? Because they want complete control over quality and authenticity. There are already knockoffs popping up, and they don't want people wasting money on fake products.

Right now — and this won't last — there's a significant discount available only through this page.

We're talking over half off the regular retail price.

Here's what that means: Instead of paying what you'd see if you Googled the product directly, you're getting the exact same clinical-grade formula for around $33.

That's less than a single dental hygiene appointment.

Why the discount?

Simple: They're building through word-of-mouth. When your dentist asks what you've been using (and they will), that's the best advertising they could possibly get.

This is a one-time purchase. Not a subscription.

You won't get automatically charged every month. No hidden fees. No surprise shipments. You order what you want, when you want it.

Most people start with 2-3 tubes for a full 90-day trial because consistency is what gets results.

Here's what you do:

Click the button below. You'll see the exclusive pricing on the next page. Choose your quantity. Done.

That's it.

10002 (2).webp

30-Day Money-Back Guarantee

This is the part that made Sarah actually trust this enough to try.

You have an entire year — 30 days — to decide if this works for you.

No questions asked.

No photos required.

No "proof of use."

No jumping through hoops.

You just email them and say, "This didn't work for me," and they refund you. Period.

Why would any company do this?

Because the refund rate is incredibly low.

When something actually works — when people see their bleeding stop, their sensitivity disappear, their gum pockets tighten — they don't return it.

They reorder it.

Sarah didn't believe this at first. She assumed there'd be a catch. Restocking fees. Fine print. You'd have to submit dental X-rays proving you had gum disease in the first place.

Nope. It's genuinely that simple.

This means you have zero financial risk. You're basically test-driving a $33 solution to see if it saves you from a $5,000 surgery.

If it works (and statistically, it probably will), you keep using it.

If it doesn't, you get your money back.

Compare that to a $5,000 surgery with no guarantee at all — where if it fails, you're just... out five grand.

The choice is pretty damn clear.

10001 (2).webp

 

What You're Actually Getting Here

Let's cut through the noise and be crystal clear about what's in front of you.

You're getting a clinically-backed gel that delivers the exact bio-identical molecules your gums naturally use to repair themselves — hyaluronic acid, CoQ10, structural proteins — in a formula that took 18 months and over 30 iterations to perfect.

You're getting a product that users report can:

  • Stop bleeding within 2-3 days
  • Eliminate sensitivity within 1-2 weeks
  • Reduce gum pocket depth within 3-4 weeks
  • Tighten receded tissue within 2-3 months

You're getting an alternative to surgery that costs 99% less and causes zero pain.

And here's the part that matters most:

You're getting a full year to decide if it works.

Even if you use every drop in the tube, if you're not satisfied, you get 100% of your money back.

So here's the real question:

What's the worst that happens if you try this?

Answer: You're out $33 temporarily. (And even that gets refunded if it doesn't work.)

What's the worst that happens if you don't try it?

Your gums keep receding. The sensitivity gets worse. Eventually, you lose the teeth — or go into debt for a surgery you can't afford.

When you frame it that way, this isn't a gamble.

It's the only logical choice.

10004_11zon (2).webp

What Real Users Are Saying

"Finally, Something That Actually Works" ⭐⭐⭐⭐⭐

"I've had receding gums for YEARS. Tried everything — sensitivity toothpaste, special mouthwashes, those weird rubber tip things dentists give you. Nothing helped. My dentist kept saying I'd 'eventually' need grafting, which is code for 'this is going to cost you thousands.'

This gel stopped my bleeding in three days. THREE. DAYS. After eight weeks, my hygienist re-measured my pockets and they'd gone from 5mm to 3mm. She actually asked what I'd been using and wrote down the product name.

If your own dental hygienist asks for the name, you know it's legit."

Jennifer W. | Verified Buyer

"Skeptical Scientist, Now Converted" ⭐⭐⭐⭐⭐

"Look, I have a PhD in biochemistry. I don't fall for marketing hype or pseudoscience BS. But I also had gum disease and couldn't afford the $3,800 surgery my periodontist recommended.

So I did what scientists do: I researched hyaluronic acid's mechanism of action in tissue repair. Found actual peer-reviewed studies. Looked at the molecular pathways. The science checked out.

Within two weeks of using this, the inflammation was visibly reduced. By week six, my gums had gone from dark angry red to healthy pink.

My dentist was genuinely surprised at my next checkup. This isn't magic — it's biochemistry applied correctly."

David L., Ph.D. | Verified Buyer

"Cancelled My $3,800 Surgery" ⭐⭐⭐⭐⭐

"I was literally scheduled for gum grafting in October. Had the date on my calendar. Cost: $3,800 that I was going to put on a credit card.

Found this product in August and figured I'd try it while waiting for the surgery date.

By October, I cancelled the surgery.

My gum pockets had tightened so much my dentist said we could 'hold off and keep monitoring.' That was seven months ago. Still monitoring. Still don't need surgery.

I will never stop using this product."

Patricia M. | Verified Buyer

"Not Instant, But It WORKS" ⭐⭐⭐⭐

"Giving this four stars instead of five because it's not a miracle overnight thing. You have to actually use it consistently — twice a day, every day — for several weeks before you see real results.

But here's the thing: It actually does work.

My gums stopped bleeding after about a week. The sensitivity took maybe three weeks to mostly disappear. After two months, the recession has visibly improved.

Just manage your expectations. This is real healing, which takes time. Not some gimmick that promises instant results."

Thomas R. | Verified Buyer

"My Dentist Now Recommends It" ⭐⭐⭐⭐⭐

"I brought the tube to my cleaning to show my hygienist. She looked at the ingredients, nodded, and said, 'Yeah, we actually use hyaluronic acid in the office after deep cleanings for tissue reattachment.'

Then she showed it to the dentist.

Now they recommend it to patients with early-stage recession.

When your own dental office starts recommending a product you found on the internet, you know it's the real deal."

Karen H. | Verified Buyer

You Have Two Paths From Here

The way Sarah sees it now — looking back on that night she sat in her car, staring at a $5,000 quote she couldn't afford — there were only two options.

Path 1: Keep Doing What Hasn't Been Working

Leave the dentist's office with no plan. Go home. Hope it magically gets better. Try brushing more carefully. Buy another tube of "gum health" toothpaste that does nothing.

Google "natural remedies for gum recession" at 2 AM and find essential oils and coconut oil pulling and other things that sound nice but don't actually rebuild tissue.

Watch the recession continue, millimeter by millimeter. Feel the sensitivity get worse. Start avoiding cold drinks. Stop smiling in photos. Live with the constant fear.

Eventually, either lose the teeth completely — or take out a credit card cash advance for a surgery you can't afford and hope it works.

That was the path Sarah was on.

That's the path most people stay on because they don't know there's another option.

Path 2: Try Something Backed by Real Science

Order a $33 gel that contains the actual molecular compounds — hyaluronic acid, CoQ10, aloe, vitamin C — that clinical research shows can support gum tissue reattachment.

Use it twice a day for 30 days.

See if the bleeding stops.

See if the sensitivity disappears.

See if the pockets tighten.

See if the tissue starts looking pink and healthy again.

If it works (like it has for over 12,000 others), keep using it. Avoid surgery. Save $5,000. Keep your teeth.

If it doesn't work, get 100% of your money back. All of it. 

That's it. Those are your only two options.

When you compare them side by side like this, the choice is obvious.

Sarah picked Path 2.

Three months later, her dentist was asking what she'd been doing.

Six months later, her gums were healthier than they'd been in over a decade.

She kept her teeth. She kept her money. She took back control.

Which path are you going to choose?

10005_11zon (3).webp

Don't Make Sarah's Near-Mistake

Sarah almost closed that browser tab that night at 2 AM.

She was exhausted. It was late. She thought, "I'll just order it tomorrow."

But here's what she didn't know:

This exclusive discount is only available on this specific page.

If you leave and come back later through a different link — or if you try to find the product on Google — you'll pay nearly double the price you see when you click through right now.

This isn't a scare tactic. It's just reality.

The discount is embedded in this page as part of their word-of-mouth marketing strategy. When you navigate away, the system can't track where you came from, and the offer resets to regular retail pricing.

And remember: You have 365 full days to try this completely risk-free.

Even if you use the entire tube, if it doesn't work, you get every penny back.

You literally have nothing to lose except continued recession, worsening sensitivity, and the fear of losing your teeth.

The people who hesitate are the same people who end up in their dentist's chair six months from now, staring at an even bigger treatment plan and an even more expensive bill.

Don't be that person.

Take control. Try this. Give your gums what they need to heal.

We can't wait to hear about your results — the day the bleeding stops, the week the sensitivity disappears, the moment your dentist asks, "What have you been using?"

You're going to want to take before photos. Trust us on that.

Your partners in taking back control of your health.
The HealthWise Daily Team

ac150962ce8a4d282ab14a314be4b56a.webp

Linda Patterson  | Verified Review

Rating:

I've wasted money on countless "gum health" products that did nothing. Almost didn't try this one. So glad I did — the difference is visible and measurable. My dental chart shows real improvement in pocket depths across multiple teeth.

Linda Patterson  | Verified Review

Rating:

I've wasted money on countless "gum health" products that did nothing. Almost didn't try this one. So glad I did — the difference is visible and measurable. My dental chart shows real improvement in pocket depths across multiple teeth.

Rachel Kim | Verified Review

Rating:

Gave up iced coffee for two years because of sensitivity. Started using this gel last month. Yesterday I drank an entire iced latte without a single twinge of pain. I almost cried in the coffee shop. Simple pleasures I thought were gone forever are back.

Rachel Kim | Verified Review

Rating:

Gave up iced coffee for two years because of sensitivity. Started using this gel last month. Yesterday I drank an entire iced latte without a single twinge of pain. I almost cried in the coffee shop. Simple pleasures I thought were gone forever are back.

Patricia Wong | Verified Review

Rating:

Had recession around my dental implant and was terrified it would fail. My periodontist mentioned hyaluronic acid helps with peri-implantitis. Been using this for three months and the tissue around my implant looks healthier than it has since installation. Crisis averted.

Patricia Wong | Verified Review

Rating:

Had recession around my dental implant and was terrified it would fail. My periodontist mentioned hyaluronic acid helps with peri-implantitis. Been using this for three months and the tissue around my implant looks healthier than it has since installation. Crisis averted.

James Morrison | Verified Review

Rating:

Bought this for my 72-year-old mother who was facing $6,000 in dental work. After two months her dentist reduced the treatment plan significantly because her gum health had improved so much. She tells everyone at her senior center about it now.

James Morrison | Verified Review

Rating:

Bought this for my 72-year-old mother who was facing $6,000 in dental work. After two months her dentist reduced the treatment plan significantly because her gum health had improved so much. She tells everyone at her senior center about it now.

Elizabeth Harper  | Verified Review

Rating:

After trying everything on the market this is the only product that actually improved my pocket depths. Went from facing major dental intervention to routine maintenance checkups.

Elizabeth Harper  | Verified Review

Rating:

After trying everything on the market this is the only product that actually improved my pocket depths. Went from facing major dental intervention to routine maintenance checkups.

Recommended by:

4.8 | 12,847 Reviews

Stop Gum Recession Without Surgery

Clinically Tested

Visible Results in 2-3 Days

Dentist Recommended

30-Day Money-Back Guarantee

Customer service experts


Not 100% satisfied with your order? We will do everything we can to resolve the issue.
Take advantage of our 30-day money-back guarantee and try it worry-free.*

15、.png

Our customer service is available from Monday to Sunday: 09:00 - 22:00
Average response time: 24 hours

Send us an email:[email protected]

Terms of Service | Privacy Policy | Shipping Policy | Refund Policy

✨ Get Up to 78% OFF Today Only